网站地图联系我们
肌无力症状图片
膝骨关节炎
美女婴心脏长体外手术后平安出院
苔藓型外阴白斑
脊柱侧弯患者症状图
上一篇:英国巨腿女的生活
下一篇:帕金森病人图片
小儿鱼鳞病
帕金森病人图片
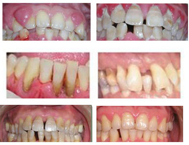
牙周病对比图